Le protesi combinate
Telescopiche o con attacchi
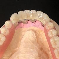
I lavori di protesi combinata vengono eseguiti su vari tipi di attacchi, intra ed extracoronali, su corone telescopiche con attacchi a frizione, sia su monconi di denti naturali, sia su impianti di qualsiasi marca.
Tutte le Lavorazioni
Nel nostro laboratorio odontotecnico potrete trovare:














